Skip to content
WhatsApp
Book
Goldworth Road Dental & Implant Centre

Call Us

Opening Times

  • Monday
    8:00am - 5:00pm
  • Tuesday
    8:00am - 5:00pm
  • Wednesday
    8:00am - 5:00pm
  • Thursday
    8:00am - 5:00pm
  • Friday
    8:00am - 4:00pm
  • Saturday
    Closed
  • Sunday
    Closed
Goldworth Road Dental & Implant Centre

Existing Patients:

Log in to your account
5 star rating
General Dentisitry

Crowns, Bridges & Onlays

When teeth are damaged or weakened, restoring their strength and appearance is key to protecting your smile. At Goldsworth Road Dental & Implant Centre, we use advanced iTero digital scanning to design precise, natural-looking crowns, bridges and onlays all without the need for messy impressions.

Smiling reception women looking at a patient

The Reliable Way to Restore Teeth

Crowns, bridges and onlays are proven treatments for protecting weak teeth, replacing missing teeth and repairing larger areas of damage. A crown fits like a protective cap over a tooth, an onlay restores part of a damaged tooth and a bridge fills the space of one or more missing teeth by anchoring to neighbouring teeth.

Strong & Protective:

Crowns and onlays shield teeth from further damage.

Restores Function:

Eating, speaking and smiling become easier again.

Natural Appearance:

Materials are matched to blend seamlessly with your smile.

Digital Accuracy:

iTero scanning ensures every restoration fits perfectly and feels comfortable from day one.

Crowns, bridges and onlays at goldsworth road dental & implant centre

Digital precision with no messy impressions

Protects weakened or heavily filled teeth from further damage

Bridges replace missing teeth without the need for surgery

Durable solutions made from high quality, modern materials

Clear guidance and support from our experienced team

Shreena Patel smiling in a dental surgery, wearing black clinical uniform and standing beside a dental chair.

Shreena Patel

Dentist

Smile Gallery

Restoring Smiles. Restoring Confidence.

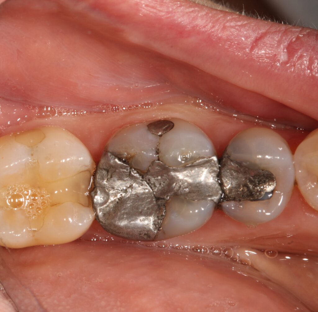
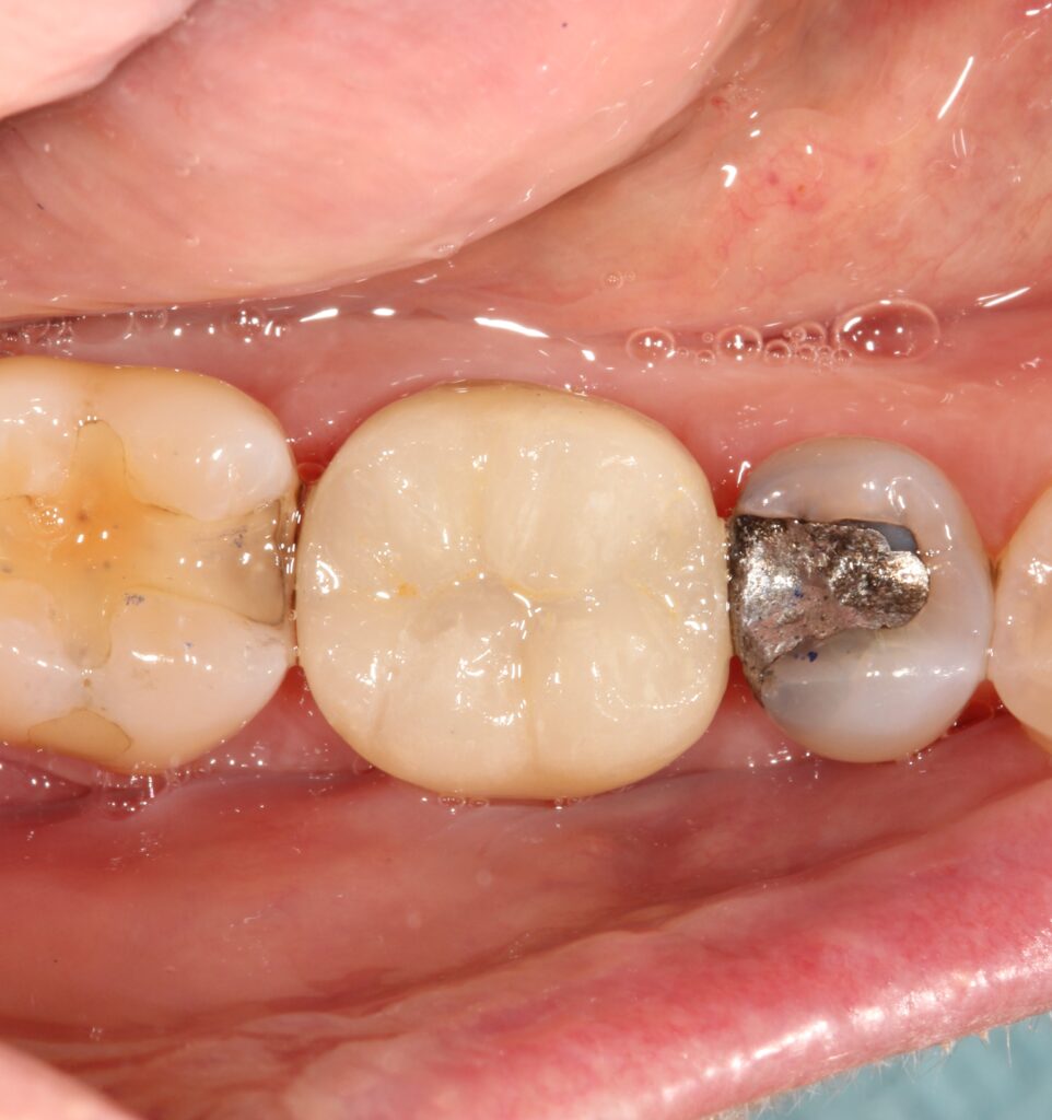
Our results speak for themselves. This gallery shows the life changing impact of crowns, bridges and onlays, with before and after cases that highlight restored function, natural looking smiles and renewed confidence.

After
Before
Before
After
After
Before
Before
After
After
Before
Before
After
After
Before
Before
After

Your Journey to a Restored Smile

Your journey begins with a detailed consultation and digital scan using the iTero system. This advanced technology captures a 3D image of your teeth in just minutes, no messy impressions needed. The scan allows us to plan your restoration with complete accuracy and comfort.

After preparation, your restoration is created in a dental laboratory from strong, aesthetic materials such as porcelain or ceramic. Once ready, it is securely bonded into place, restoring function and appearance immediately. With the right care and regular dental check-ups, crowns, bridges and onlays can provide many years of reliable protection and confidence.

With proper care, your restoration can last for many years, helping you eat, speak, and smile with total confidence.

Book Now
female patient talking to a treatment coordinator holding a clipboard and pen

flexible care

Our Membership Plan makes it easier to stay on top of routine care, with priority appointments, emergency cover and 10% off core treatments. It’s a simple and flexible way to protect oral health while spreading the cost of care and giving our patients added peace of mind.

Crowns, bridges and onlays

Does the treatment hurt?

No. Local anaesthetic is used where necessary, so treatment is comfortable and pain free.

How long do crowns, bridges and onlays last?

With good oral hygiene and routine check-ups, they can last 10 to 15 years or more. Modern materials are strong, durable and designed to look and feel natural.

What’s the difference between crowns, bridges and onlays?

A crown covers and protects a damaged tooth, a bridge replaces missing teeth by anchoring to neighbouring teeth and an onlay restores part of a tooth when a filling isn’t enough but a full crown isn’t required.