Skip to content
WhatsApp
Book
Goldworth Road Dental & Implant Centre

Call Us

Opening Times

  • Monday
    8:00am - 5:00pm
  • Tuesday
    8:00am - 5:00pm
  • Wednesday
    8:00am - 5:00pm
  • Thursday
    8:00am - 5:00pm
  • Friday
    8:00am - 4:00pm
  • Saturday
    Closed
  • Sunday
    Closed
Goldworth Road Dental & Implant Centre

Existing Patients:

Log in to your account
5 star rating
Dental Implants

Single or Multiple Teeth Implants

Missing one or more teeth can make eating, speaking and even smiling uncomfortable. At Goldsworth Road Dental & Implant Centre our experienced, dedicated implant team will restore strength, balance and confidence to your smile. We offer secure, natural looking single or multiple teeth replacements designed to last a lifetime. Backed by a 10-year warranty and over 2,000 implants placed, we serve patients from Woking, Surrey and across the South of England.

Female patient sat in the dentist chair looking happy

Natural looking results:

Each implant is custom made to blend seamlessly with your existing teeth.

Strong & Secure:

Eat and speak with confidence – no slipping, movement or discomfort.

Long-lasting:

Backed by a 10-year warranty and designed for decades of use with good care.

A Reliable Solution for One or More Missing Teeth

Dental implants offer the most effective and long lasting way to replace missing teeth. Whether restoring one tooth or several in a row, implants provide strength, stability and a natural appearance. They prevent bone loss, protect surrounding teeth and allow patients to eat, speak and smile with total confidence.

Precise Placement:

Digital scans ensure implants are positioned for comfort and longevity.

Natural Appearance:

Crowns and bridges are carefully crafted to blend seamlessly with your smile.

Improved Function:

Eat comfortably with restored bite strength and stability.

Protects Bone & Surrounding Teeth:

Prevents bone shrinkage and supports long-term oral health.

Single or Multiple Implant care at goldsworth road dental & implant centre

Restores chewing strength and everyday function

Free consultation with one of our experienced treatment coordinators either in-person or online for your convenience

Long-term stability with results that look and feel natural to prevent bone loss and protect remaining teeth

Conscious sedation is available for nervous patients

Backed by our 10-year warranty for lasting peace of mind

Ben Kemsley, Principal Dentist, smiling and standing in a dental surgery wearing black clinical uniform.

Ben Kemsley

Principal Dentist

The Technology Behind Single & Multiple Implants

Our implant treatments are guided by advanced digital scanning and 3D imaging for total precision. This technology allows us to plan each implant accurately, ensuring perfect alignment, natural aesthetics and predictable, long-term success.

Smile Gallery

Restoring Smiles. Restoring Confidence.

From single tooth to full mouth restorations, our implant treatments have transformed thousands of smiles. The results speak for themselves with renewed confidence, improved function and beautifully natural results tailored to all our patients.

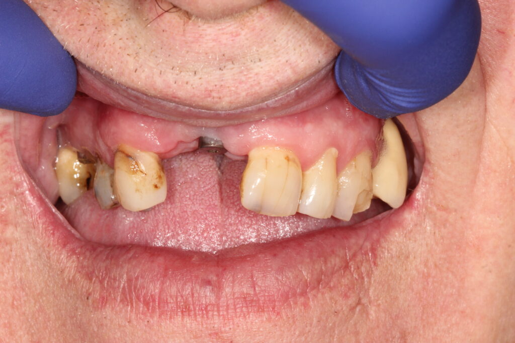
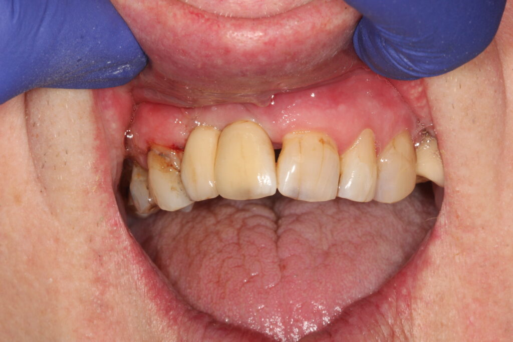
after single tooth implants
Before single tooth implant
Before
After
after single tooth implant
before single tooth implant
Before
After

Life changing dentistry – hear from our patients

There’s no better way to understand our care than through the experiences of our patients. Watch this short video to hear one patient’s story, and discover how our treatments have helped people just like you.

Trusted providers, guided by experience

Ben Kemsley, Principal Dentist, smiling and standing in a dental surgery wearing black clinical uniform.

“Whether it’s one tooth or several, replacing missing teeth with dental implants has a hugely positive impact on overall health and wellbeing.

Ben Kemsley

Principal Dentist

Female dental professional Lisa Patton smiling in a dental surgery, wearing black clinical uniform and resting her hands on a dental chair.

“Referring patients to replace missing teeth with our dental implant team is always rewarding. Especially seeing them afterwards with a newly restored smile!”

Lisa Patton

Dentist

Dental nurse Maria Kujawa smiling in a dental surgery, wearing teal clinical scrubs with hands in pockets beside a dental chair.

“The positive impact replacing missing teeth has on patient’s overall quality of life is so rewarding for us to see.”

Maria Kujawa

Dental Nurse

Your Implant Journey

Every patient journey begins with a consultation to assess oral health and bone structure.

Digital scans are used to plan the implant placement precisely, ensuring comfort and accuracy.

The implant is then placed gently under local anaesthetic, acting as a replacement root. After a short healing period, a custom made crown or bridge is securely fitted restoring appearance, function and confidence.

Start your journey
mature patient looking relaxed in the dentist's chair

Self Referrals Welcome

We’re always happy to receive self referrals for dental implant cases from single tooth replacements to complex full mouth restorations. Our experienced clinicians accept both routine and advanced referrals, including patients who may have been told elsewhere that implants aren’t possible.

We also provide care and sedation for nervous patients ensuring every patient receives the highest standard of treatment in a calm, reassuring environment.

Referral Form
Principle Dentist Ben Kemsley smiling at a patient

Dentist Referrals for Implant Placement

We welcome referrals from general dentists for implant placement and related treatment. Our experienced implant team can either complete the full process from placement to final restoration or place the implant and return the patient to their dentist for the restorative phase.

To refer a patient, please use our online referral form or contact us for further details.

Referral Form
Male and female dentist chatting and leaning on the reception desk

Flexible payment plans

Dental implants are a life-changing investment in your confidence.

Spread the cost with up to 12 months interest-free credit on treatment from £500 to £5,000. Our simple online application takes just 2 minutes to complete, and you’ll get an instant decision on whether you’re approved. Checking your eligibility won’t affect your credit score, and once approved, you can start using your finance straight away. It’s a straightforward way to spread the cost of your treatment without paying any interest.

Single or Multiple Implant FAQ's

Does the treatment hurt?

No. Dental implants are placed under local anaesthetic and most patients describe only minor discomfort afterwards. Sedation is available for nervous patients.

How long do single or multiple implants last?

With good oral hygiene and regular dental check-ups, implants can last for decades. All our implants come with a 10-year warranty for added reassurance.

Will my new teeth look natural?

Yes. Each crown or bridge is colour-matched and shaped to blend seamlessly with your existing teeth, creating a natural and confident smile.