Skip to content
WhatsApp
Book
Goldworth Road Dental & Implant Centre

Call Us

Opening Times

  • Monday
    8:00am - 5:00pm
  • Tuesday
    8:00am - 5:00pm
  • Wednesday
    8:00am - 5:00pm
  • Thursday
    8:00am - 5:00pm
  • Friday
    8:00am - 4:00pm
  • Saturday
    Closed
  • Sunday
    Closed
Goldworth Road Dental & Implant Centre

Existing Patients:

Log in to your account
5 star rating
Specialist Care

Dental Implants

Missing teeth, loose dentures, or difficulty eating can take a real toll on confidence. At Goldsworth Road Dental & Implant Centre we provide permanent, natural-looking dental implants with the reassurance of a 10-year warranty. With over 2,000 implants placed, our trusted team serves patients from Woking, Surrey and across the South of England, helping them eat, speak and smile with confidence again.

Principle dentist shaking hands with a mature patient

Eat with confidence

Enjoy your favourite foods again without worry.

Natural-looking results

Implants blend seamlessly with your smile.

Secure and lasting

With the right care, implants can last a lifetime.

The Gold Standard for Tooth Replacement

Dental implants are widely recognised as the best long-term solution for missing teeth. A small titanium post is placed in the jawbone to act as a secure root, then topped with a natural-looking crown, bridge, or denture.

Restores function

Eat, speak and live without restriction.

Protects health

Preserves bone and supports long-term oral health.

Natural results

Designed to match your teeth for seamless integration.

Trusted success

Predictable outcomes backed by decades of clinical research.

Dental Implant care at Goldsworth Road Dental & Implant Centre

Implants may be possible even if you’ve been told before that you can’t have them.

At Goldsworth Road Dental & Implant Centre we’ve helped many patients achieve their dream smile, even those who might have been told before that implants weren’t an option.

Told you don’t have enough bone?

Modern techniques such as bone grafts and sinus lifts make implants possible for many patients.

Had previous dental work fail?

Implants can still provide a secure, lasting solution.

Living with gum disease or medical conditions?

Our experienced team carefully plans treatment even in complex cases.

Wearing dentures and unhappy?

Implant-supported solutions can restore stability and confidence.

Worried about long-term success?

Our implants are backed by a 10-year warranty for peace of mind.

Ben Kemsley, Principal Dentist, smiling and standing in a dental surgery wearing black clinical uniform.

Ben Kemsley

Principal Dentist

Precision Technology for Predictable Results

We use the latest digital scanning, 3D imaging and guided surgery to ensure accuracy and comfort throughout implant treatment. This technology allows us to plan with precision, minimise discomfort and deliver results patients can trust.

Smile Gallery

Restoring Smiles. Restoring Confidence.

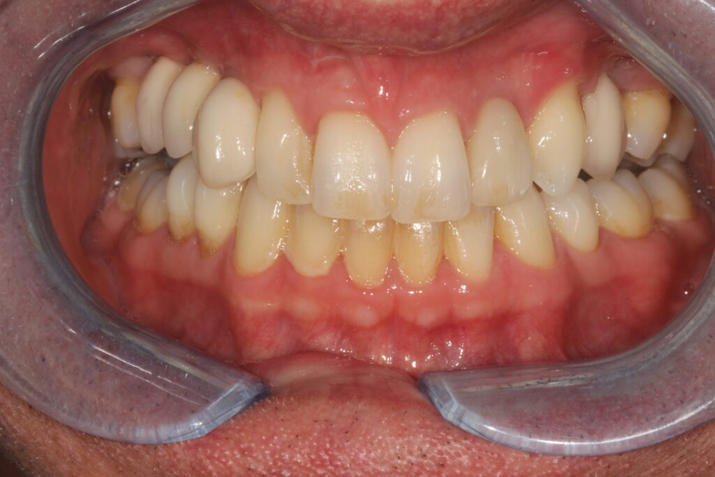
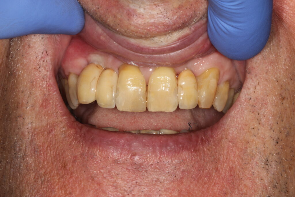
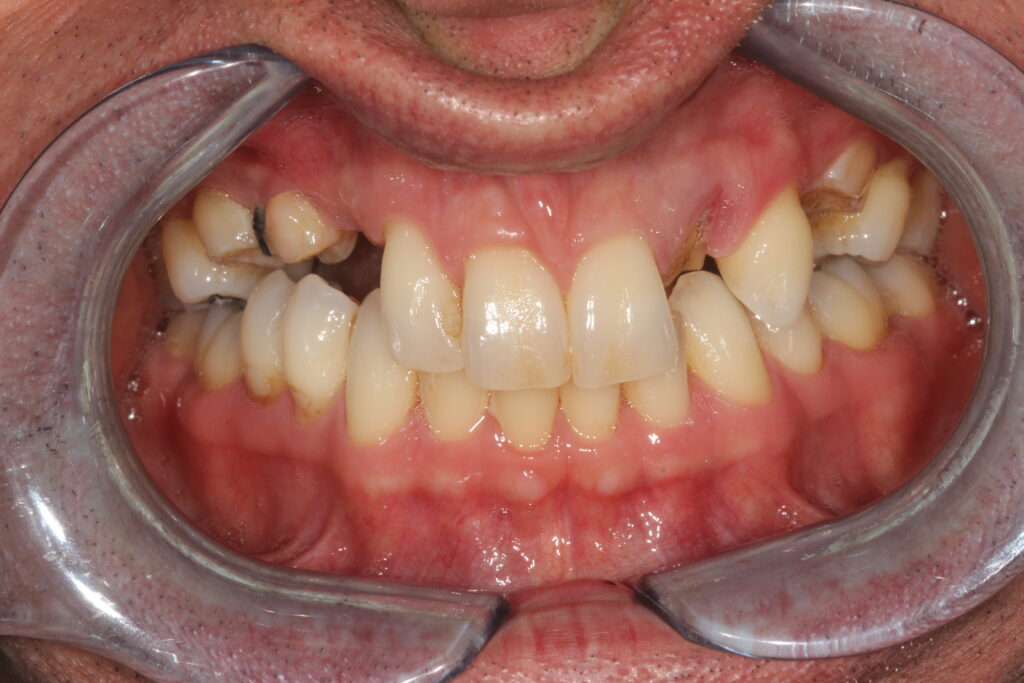
Our results speak for themselves. This gallery shows the life changing impact of dental implants, with before and after cases that highlight restored function, natural looking smiles and renewed confidence.

after dental implants
before dental implants
Before
After
after dental implants
before dental implants
Before
After

Life changing dentistry – hear from our patients

There’s no better way to understand our care than through the experiences of our patients. Watch this short video to hear one patient’s story, and discover how our treatments have helped people just like you.

Trusted providers, guided by experience

Ben Kemsley, Principal Dentist, smiling and standing in a dental surgery wearing black clinical uniform.

“Helping patients regain their smiles with dental implants is incredibly rewarding. Replacing missing teeth helps restore appearance, function, general health and wellbeing.

Ben Kemsley

Principal Dentist

Female treatment coordinator Jana O'Driscoll smiling with arms crossed, wearing a dark suit jacket and standing in a warmly lit reception area.

“Dental implants can truly change lives giving patients the freedom to eat, speak and smile without worry.”

Jana O'Driscoll

Treatment Coordinator

Dental nurse Maria Kujawa smiling in a dental surgery, wearing teal clinical scrubs with hands in pockets beside a dental chair.

“Seeing a patient’s joy when they finish their implant treatment, look in the mirror and feel their new teeth is one of the most satisfying parts of my work.”

Maria Kujawa

Dental Nurse

Your Dental Implant Journey

Every patient journey begins with a consultation. We’ll assess your oral health, take digital scans and talk through your goals. A personalised treatment plan is then created, detailing each stage clearly.

Placement of the implant itself is a straightforward procedure carried out under local anaesthetic, with sedation available for nervous patients. The implant integrates with the jawbone over the following weeks, creating a secure foundation for your new tooth or teeth.

Once healing is complete, a custom made crown, bridge or denture is fitted. The result is a natural looking smile that feels secure, comfortable and long lasting. We also provide full aftercare and hygiene guidance to help implants last as long as natural teeth.

Take the first step towards your new smile with a free in-person or virtual consultation. Our Treatment Coordinator will guide you through your options, answer your questions and help you understand what to expect with no obligation to proceed.

Start your journey
Mature male patient smiling

Flexible payment plans

Dental implants are a life-changing investment in your confidence.

Spread the cost with up to 12 months interest-free credit on treatment from £500 to £5,000. Our simple online application takes just 2 minutes to complete, and you’ll get an instant decision on whether you’re approved. Checking your eligibility won’t affect your credit score, and once approved, you can start using your finance straight away. It’s a straightforward way to spread the cost of your treatment without paying any interest.

Are Dental Implants Right for You?

Implants are suitable for most patients with missing or failing teeth, whether it’s a single tooth, several teeth or a full arch, you can have a fully bespoke solution that will improve your quality of life.

They are particularly beneficial for denture wearers who want more stability and for patients who want to protect long term oral health. Even if you’ve been told elsewhere that implants aren’t possible, our highly specialist team may still be able to help through advanced techniques such as bone grafts or sinus lifts.

Types of Dental Implants We Offer

  • Single tooth implants: restore one missing tooth with a secure titanium root and natural looking crown.
  • Multiple implants: replace several teeth with implants connected by a bridge.
  • Implant supported bridges: fixed solutions that restore strength and function across multiple missing teeth using prosthetic teeth attached to a bridge which creates an arch of teeth implants.
  • Implant-retained dentures: dentures secured with implants for more stability and comfort compared to normal dentures.
  • Full arch solutions: Also known as All-on-4 or Smile in a day is a long lasting complete set of teeth supported by implants, often fitted in just one day.

What Dental Implants Can Help With

Dental implants are far more than just replacement teeth. They restore strength, stability and confidence in everyday life. From eating favourite foods to speaking clearly and smiling without hesitation, implants provide practical and emotional benefits that dentures or bridges often cannot match. They also support long-term oral health by protecting the jawbone and surrounding teeth.

Loose or Uncomfortable Dentures

Implant retained dentures eliminate slipping and irritation, restoring secure comfort for eating and speaking. They also prevent rubbing against gums, helping our patients enjoy a more natural, confident smile every day.

Missing Teeth

Whether replacing one tooth or a full arch, implants provide strong, fixed replacements that look and feel natural. They maintain jawbone health and prevent neighbouring teeth from drifting out of place.

Difficulty Chewing

Implants restore full bite strength, allowing patients to eat a balanced diet again without pain or worry.

Facial Support

Tooth loss can cause bone shrinkage that changes facial shape over time. Implants protect bone volume and maintain natural contours, helping to preserve a more youthful, balanced appearance.

Smile Confidence

Secure, natural looking Dental Implants transform how patients feel about their smile. By restoring missing teeth seamlessly, they bring back everyday confidence and make social interactions more relaxed and enjoyable.

Long-Term Health

Implants do more than improve appearance, they support lasting oral health. By protecting bone and stabilising surrounding teeth, they reduce future dental problems and safeguard your overall wellbeing.

Dental Implants FAQ's

Does implant treatment hurt?

No. Placement is carried out under local anaesthetic, with sedation available for nervous patients. Discomfort afterwards is usually mild and short-lived.

How successful are dental implants?

Very. Implants have a success rate of over 95% and can last a lifetime with good care and regular check-ups.

How long does treatment take?

This varies depending on healing and whether additional procedures like bone grafts are needed. Some implants can be restored in one day, while others take a few months.

Am I suitable for implants?

Most patients are. Even those with bone loss or complex dental histories may be suitable thanks to modern techniques. We’ll assess and advise at your consultation.

What do implants cost?

Costs vary depending on the number of implants and complexity. We provide a full breakdown at consultation and offer interest free finance to spread the cost.

How do I care for dental implants?

Implants are cared for just like natural teeth with regular brushing, flossing and dental check-ups. Our hygienists provide ongoing support to help your implants last many years.