Skip to content
WhatsApp
Book
Goldworth Road Dental & Implant Centre

Call Us

Opening Times

  • Monday
    8:00am - 5:00pm
  • Tuesday
    8:00am - 5:00pm
  • Wednesday
    8:00am - 5:00pm
  • Thursday
    8:00am - 5:00pm
  • Friday
    8:00am - 4:00pm
  • Saturday
    Closed
  • Sunday
    Closed
Goldworth Road Dental & Implant Centre

Existing Patients:

Log in to your account
5 star rating
Cosmetic Dentistry

Stain Removal (EMS Air Polishing)

Everyday habits like coffee, tea and red wine can leave stains that dull your smile over time. Our Air Polishing treatment includes advanced cleaning using EMS Airflow technology, at no extra cost to gently remove surface stains and plaque, restoring brightness and leaving your teeth feeling smooth, clean and refreshed all without damaging enamel.

Blonde female smiling at camera

Direct Access:

No need to be a registered patient at the practice.

Comfortable:

Pain-free and suitable for sensitive teeth.

Transformative:

Refreshes your smile and confidence instantly.

Brighten and Protect Your Smile

Air Polishing using the latest EMS Airflow system combines air, water and fine powder to lift away stains and plaque safely, leaving teeth clean, smooth and naturally brighter all without damaging enamel.

Safe for Enamel:

Cleans without scratching or damaging the teeth.

Removes Stains & Plaque:

Targets hard-to-reach areas for a thorough clean.

Improves Gum Health:

Reduces bacteria and inflammation.

Instantly Brighter:

Teeth feel smoother and look visibly fresher right away.

Air Polishing at Goldsworth Road Dental & Implant Centre

Our experienced team of Dental Hygienists are available everyday with early morning appointments from 8am.

Safe, non-abrasive treatment suitable for sensitive teeth

Every hygiene visit includes EMS Airflow for a deeper, more comfortable clean at no extra cost.

The perfect treatment before weddings, holidays or special events for a polished, confident finish.

Direct Access means you can book without a referral.

Dental hygienist Victoria Bonilla smiling in a dental surgery, wearing black clinical uniform and resting her hand on a dental chair.

Vicky Bonilla

Hygienist

Smile Gallery

Brighten your smile, lift your confidence.

This gallery showcases real results at Goldsworth Road Dental & Implant Centre achieved with Air Polishing designed to look beautifully natural.

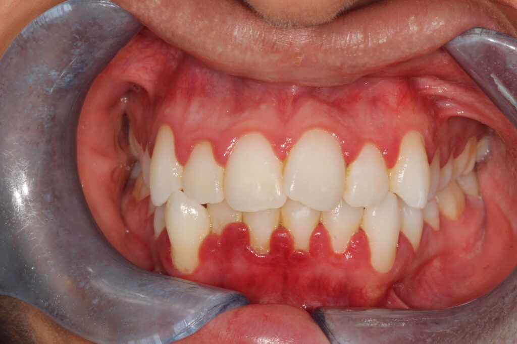
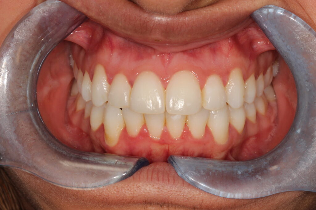
after hygiene
Before hygiene
Before
After

Trusted providers, guided by experience

Dental hygienist Victoria Bonilla smiling in a dental surgery, wearing black clinical uniform and resting her hand on a dental chair.

“I love seeing how fresh and bright a smile looks after air polishing, it’s such a simple confidence boost.”

Vicky Bonilla

Hygienist

Dental hygienist Sarah Pritchard smiling in a dental surgery, wearing black clinical uniform and resting a hand on a dental chair.

“Patients are always amazed at how clean and smooth their teeth feel after stain removal, it’s instantly refreshing.”

Sarah Pritchard

Hygienist

Dental hygienist Sarah King smiling in a dental surgery, wearing black clinical uniform and standing beside a dental chair.

“Air polishing is one of my favourite treatments gentle, effective and leaves every smile looking great!”

Sarah King

Hygienist

Your Air Polishing Appointment

Air Polishing is a quick, comfortable procedure that delivers immediate results. During your appointment, your clinician will use a specialised hand held tool with EMS Airflow technology that combines air, water and fine powder to gently remove surface stains, plaque and bacteria from your teeth and gums.

The process takes around 30 to 60 minutes and is completely pain free there’s no scraping or drilling involved. The fine powder is directed precisely where needed, even reaching areas that are difficult to clean during everyday brushing.

After treatment, your teeth will feel noticeably smoother and your mouth refreshed. It’s an excellent option for maintaining a bright smile or as preparation for whitening and other cosmetic treatments. To keep results at their best, many patients choose to include Air Polishing as part of their regular hygiene care.

Start your journey
Female dentist and patient standing together smiling at the camera

Flexible care

Air Polishing helps build your confidence and is included in regular membership hygiene appointments.

Our Membership Plan makes it easier to stay on top of routine care, with priority appointments, emergency cover and 10% off core treatments. It’s a simple and flexible way to protect your oral health while spreading the cost of care and giving you added peace of mind.

Precision Technology for Predictable Results

We use the latest digital scanning and 3D imaging to ensure accuracy and comfort. This technology allows us to plan with precision, minimise discomfort and deliver results patients can trust.

Your Air Polishing Journey

Before & During Treatment

Your visit begins with a brief assessment of your teeth and gums to confirm EMS Airflow Polishing is right for you. We then protect your lips and cheeks and use a precise hand tool that combines air, water and a fine powder to lift stains and biofilm. There is no scraping or drilling. Most appointments take 30 to 60 minutes and patients describe the sensation as light and comfortable.

Aftercare & Ongoing Maintenance

You’ll leave with teeth that feel exceptionally smooth and look noticeably brighter. Avoid strongly coloured food and drink for a few hours, then resume normal brushing and flossing. Many patients choose Air Polishing every 3 to 6 months as part of their hygiene routine and it’s an excellent primer before whitening or other cosmetic treatments.

Many patients choose to book cosmetic stain removal before weddings, holidays, or important events for that extra polish and brightness. Appointments can be booked directly with our hygienists through our Direct Access service, with early morning slots available from 8am every day.

What Air Polishing Can Help With

Air Polishing isn’t just about brighter teeth it’s a gentle, highly effective treatment that removes everyday stains, supports gum health and refreshes your whole smile. Here are just a few ways it can help.

Tea, Coffee & Red Wine Stains

Gently lifts everyday staining from the tooth surface for a cleaner, brighter smile without abrasive polishing.

Smoker’s Staining

Targets stubborn discolouration along the gumline and between teeth, restoring a fresher overall appearance.

Plaque & Biofilm Build-Up

Disrupts bacterial biofilm in hard-to-reach areas, supporting healthier gums and fresher breath.

Around Braces, Retainers & Implants

Cleans around brackets, wires, retainers and implant components more effectively than standard polishing.

Pre-Whitening Preparation

Removes surface deposits so whitening gel can contact enamel evenly for more predictable results.

Event-Ready Refresh

Fast, comfortable brightening before a wedding, holiday, or photos instant polish with no downtime.

Air Polishing FAQ's

Is Air Polishing the same as whitening?

No. Air Polishing removes surface stains and plaque to restore your teeth’s natural brightness. Whitening changes the underlying tooth shade. Many patients have Air Polishing first for the best whitening results.

Is it safe for enamel and sensitive teeth?

Yes. The technique is non-abrasive and kind to enamel. It’s well tolerated by patients with sensitivity and the fine powder and gentle jet are designed for comfort.

How often should I have Air Polishing?

That depends on your lifestyle and stain risk. For most patients, every 3–6 months alongside hygiene visits works well. Your clinician will recommend a schedule for you.

Can it be used if I have braces, retainers or implants?

Yes. Air Polishing is ideal for cleaning around orthodontic appliances, fixed retainers and implant components where plaque and stains can accumulate.

What happens after treatment, can I eat and drink normally?

You can, but it’s best to avoid highly coloured foods and drinks (coffee, red wine, curry) for a few hours. Then continue with normal brushing and interdental cleaning.

Will it help my gum health?

Air Polishing removes plaque and biofilm, which are key contributors to gum inflammation. Used regularly with good home care, it supports healthier gums and fresher breath.