Skip to content
WhatsApp
Book
Goldworth Road Dental & Implant Centre

Call Us

Opening Times

  • Monday
    8:00am - 5:00pm
  • Tuesday
    8:00am - 5:00pm
  • Wednesday
    8:00am - 5:00pm
  • Thursday
    8:00am - 5:00pm
  • Friday
    8:00am - 4:00pm
  • Saturday
    Closed
  • Sunday
    Closed
Goldworth Road Dental & Implant Centre

Existing Patients:

Log in to your account
5 star rating
Cosmetic Dentistry

invisalign®

Invisalign® is a modern, discreet way to straighten teeth using clear, removable aligners. At Goldsworth Road Dental & Implant Centre, every treatment we carry out is expertly planned and tailored to help patients smile with confidence, from start to finish.

Female dentist with long brown hair laughing looking to the side of the camera

Invisible

Invisalign aligners are made from ultra-clear plastic, making them virtually invisible while you wear them. Your treatment stays discreet and unnoticeable.

gentle

Invisalign uses light, gradual pressure to move teeth into position. With no brackets or wires, it’s a more comfortable experience.

Removable

Invisalign aligners can be taken out for eating, brushing and special occasions, making it easier to live life as normal.

The clear choice for a confident smile

A smarter way to straighten your smile. Invisalign® is comfortable, discreet and designed to fit effortlessly into modern life.

Predictable Results:

Each aligner is designed using advanced 3D planning technology, so patients can see their expected outcome before treatment even begins.

Easy to Care For:

No special tools or techniques. Just remove your aligners to brush and floss as normal, helping you maintain great oral health.

Shorter Treatment Times:

For many cases, Invisalign can achieve results in as little as 6–12 months, making it faster than traditional orthodontics.

Spread the Cost:

With 0% finance and staged payments available, patients can spread the cost of treatment, making a straighter smile more accessible than ever.

Invisalign® care at goldsworth road dental & implant centre

Trusted, long-established practice with a reputation for high-quality care.

We are a friendly, experienced team with a calm and professional approach.

Dedicated treatment coordinator to guide and support your journey.

State-of-the-art digital technology for accurate planning and stunning results.

Flexible appointments to suit your schedule.

Shreena Patel smiling in a dental surgery, wearing black clinical uniform and standing beside a dental chair.

Shreena Patel

Dentist

Life changing dentistry – hear from our patients

There’s no better way to understand our care than through the experiences of our patients. Watch this short video to hear one patient’s story, and discover how our treatments have helped people just like you

Smile gallery

Beautifully aligned. Naturally confident.

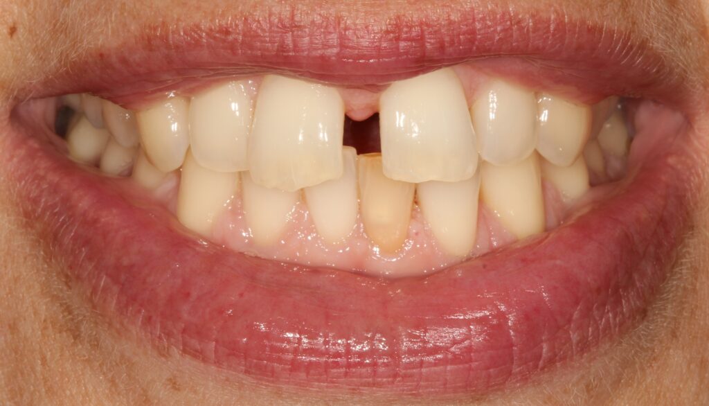
The results really do speak for themselves. This gallery features just a few of the confident, natural-looking smiles transformed with Invisalign® at Goldsworth Road Dental & Implant Centre. Every case reflects the expertise of our clinicians and the personalised care each patient receives, from first scan to final aligner.

after invisalign
before invisalign
Before
After
after invisalign
before invisalign
Before
After

Trusted providers, guided by experience

Shreena Patel smiling in a dental surgery, wearing black clinical uniform and standing beside a dental chair.

“Invisalign helps patients transform their smiles comfortably and discreetly. The positive impact the treatment has on confidence is wonderful to see.”

Shreena Patel

Dentist

Female dental professional Ektaa Chopra smiling in a dental surgery, wearing black clinical uniform and resting her arm on a dental chair.

“Invisalign can give you the smile you have always wanted! It’s discreet appearance and convenience make it one of the best orthodontic solutions available.”

Ektaa Chopra

Dentist

Female treatment coordinator Jana O'Driscoll smiling with arms crossed, wearing a dark suit jacket and standing in a warmly lit reception area.

“It’s such a joy watching patients fall in love with their new smile as their Invisalign journey progresses.”

Jana O'Driscoll

Treatment Coordinator

Your journey to a straighter smile starts here

At Goldsworth Road Dental & Implant Centre in Woking, Invisalign® is more than just a discreet way to straighten teeth. It’s a carefully tailored treatment, delivered by our highly experienced clinicians who understand the importance of comfort, confidence and lasting results.

Whether you’re looking to improve crowding, close gaps or gently realign your bite, Invisalign offers a modern, flexible alternative to traditional braces. Using a series of clear, removable aligners, it gradually moves your teeth into their ideal position with minimal disruption to daily life. And because every plan is created in advance, you’ll know exactly what to expect from day one.

Take the first step towards your new smile with a free in-person or virtual consultation. Our Treatment Coordinator will guide you through your options, answer your questions and help you understand what to expect with no obligation to proceed.

Start your journey
Blonde female receptionist smiling

Flexible payment plans

Invisalign® is an investment in your confidence, and we make it easier to manage with interest-free finance.

Spread the cost with up to 12 months interest-free credit on treatment from £500 to £5,000. Our simple online application takes just 2 minutes to complete, and you’ll get an instant decision on whether you’re approved. Checking your eligibility won’t affect your credit score, and once approved, you can start using your finance straight away. It’s a straightforward way to spread the cost of your treatment without paying any interest.

The technology behind the treatment

Take a look at how Invisalign® works step by step. From the digital scan and custom treatment planning to the precision-made aligners that gently guide your teeth in to place, it’s a smart patient-friendly system that combines advanced technology with five star care. All designed to deliver beautifully natural results.

Is invisalign® right for you?

Invisalign® is designed to treat a wide range of orthodontic concerns with precision and discretion. It’s particularly effective for straightening mild to moderate cases of:

  • Crowded teeth
  • Gaps between teeth
  • Overbites and underbites
  • Crossbites and open bites

Whether it’s about improving comfort, appearance or long-term dental health, Invisalign® offers a discreet, flexible way to achieve a straighter, more confident smile, without the restrictions of fixed braces.

What are the alternatives?

Invisalign® is an excellent choice for many patients looking to correct mild to moderate issues such as crowding, gaps, or bite alignment. However, in more complex cases, a fixed brace may be the recommended approach. Our experienced team will always guide you to the most effective option for your smile.

To explore alternatives, take a look at our Smile Makeover page.

what invisalign® can help with

Invisalign® can do far more than gently straighten your smile. From crowded teeth to bite concerns, it offers a discreet and effective solution for a wide range of orthodontic issues, all with minimal disruption to daily life.

Crowded teeth

When there isn’t enough space in the mouth, teeth can overlap and twist. This makes brushing and flossing more difficult, increasing the risk of plaque build-up, decay, and gum problems.

Gaps between teeth

Extra space between teeth can cause food to get trapped and gums to feel sore or inflamed. Left untreated, gaps may lead to gum disease or other oral health issues.

Open bite

An open bite means the upper and lower teeth don’t meet when the mouth is closed. This can make it harder to chew certain foods and may affect speech and jaw function.

Underbite

In an underbite, the lower teeth sit in front of the upper teeth. This can cause excessive wear, difficulty chewing, and in some cases, speech problems or jaw discomfort.

Overbite

A pronounced overbite, where the upper teeth significantly overlap the lower, can lead to jaw pain, tooth wear, and long-term bite issues if left untreated.

Crossbite

A crossbite occurs when some upper teeth sit inside the lower teeth rather than outside. Over time, this can cause enamel wear, gum recession, or even bone loss around affected teeth.

Invisalign® faqs

How does Invisalign® treatment work?

Your journey begins with a digital scan and photographs to assess your suitability for Invisalign®. Using ClinCheck software, your dentist creates a 3D treatment plan that shows how your teeth are expected to move and what your final smile could look like. You’ll receive a series of custom aligners, with regular check-ins to monitor progress and ensure you’re comfortable. Treatment times vary depending on complexity, but your plan will always be clearly outlined from the start.

How often will I have appointments with my Invisalign dentist?

You’ll typically see your dentist every 4 to 6 weeks. These short visits are to check your progress, make any necessary adjustments, and ensure everything is moving as planned. Because your aligners are prepared in advance, fewer appointments are needed compared to traditional braces.

How long does Invisalign® treatment usually take?

Treatment time depends on how complex your case is and how often you wear your aligners. Most patients complete their Invisalign® journey in 12 to 18 months, but you may start noticing changes within just a few weeks. Your dentist will give you a clear timeline tailored to your smile.

How much does Invisalign® treatment cost?

The cost of Invisalign® depends on the complexity of your case and the length of your treatment. In most cases, it’s comparable to the cost of traditional braces. At Goldsworth Road Dental & Implant Centre, you’ll receive a personalised quote after your consultation, along with information on our 0% finance options to help spread the cost.

Is Invisalign® suitable for adults and teenagers?

Yes. Invisalign® is a popular choice for adults and teens who want a discreet alternative to fixed braces. There are options tailored for younger patients too, including Invisalign Teen.

How many hours a day do I need to wear them?

For the best results, Invisalign® aligners should be worn for 20 to 22 hours a day. They should be removed for eating, drinking anything other than water, and brushing your teeth. Wearing them consistently will help keep your treatment on track and deliver the results you’re aiming for.